Dental implants

A dental implant is an artificial tooth root — usually made of titanium — that’s surgically placed into your jawbone. It supports a replacement tooth (crown) or even a full set of teeth (bridge or denture).

Laser dentistry

Laser dentistry is an advanced dental technique that uses focused light beams to perform various dental procedures more precisely and comfortably than traditional methods.

Aligners

Aligners are a modern, discreet alternative to traditional braces, designed to straighten teeth using a series of clear, removable trays.

Teeth whitening

Teeth whitening is a popular cosmetic dental treatment that lightens the color of your teeth, removing stains and discoloration.

Braces

Braces are a tried-and-true orthodontic treatment designed to straighten teeth, fix bite issues, and improve overall dental alignment.

Root canal treatment

Inside each tooth is pulp — a soft tissue filled with nerves, blood vessels, and connective tissue. When this pulp becomes infected or inflamed (due to deep decay, cracks, trauma, or repeated dental procedures)

Flap surgery

Flap surgery — also known as gingival flap surgery is a type of periodontal surgery aimed at treating advanced gum disease (periodontitis). Removes tartar, bacteria, and diseased tissue from deep pockets around the tooth roots and bone.

Gum depigmentation

Gum depigmentation also known as gum bleaching is a cosmetic dental procedure that lightens or removes dark patches or spots on the gums. Common in people with darker skin tones due to more melanin.

Smile designing

Smile designing also known as smile makeover or smile transformation is a comprehensive, personalized cosmetic dental treatment plan aimed at enhancing the appearance of your smile. It combines various dental procedures to achieve the perfect balance of aesthetics and function.

Impacted tooth removal

Impacted tooth removal is a procedure to extract a tooth that hasn’t fully erupted through the gum — often because it’s stuck against bone, another tooth, or soft tissue. The most frequent culprits, usually between ages 17-25.

Inlay Onlay Overlay

A dental restoration placed within the grooves of a tooth without covering its cusps, used for mild to moderate decay. Similar to an inlay but extends over one or more cusps, providing more coverage for damaged teeth.

Pediatrics

Pediatric Dentistry is an age-defined specialty that provides both primary and comprehensive preventive and therapeutic oral health care for infants and childrens.

Periodontal Surgery

Surgical/non-surgical procedures for maintaining healthy gums and treating inflammatory diseases around gums and supporting structures around teeth to maintain a good oral health.

Impaction Surgery

Impaction surgery is a dental procedure to remove a tooth that is trapped beneath the gum or bone, often due to lack of space. It is commonly performed for wisdom teeth and involves making an incision, removing the tooth.

Laser Whitening

Laser whitening is a cosmetic dental procedure that uses a concentrated beam of light to activate a bleaching agent, effectively removing stains and brightening teeth. It is a quick and non-invasive treatment

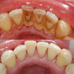
Cleaning

Cleaning teeth involves brushing with fluoride toothpaste and flossing to remove plaque, food particles, and bacteria, preventing cavities and gum disease. Regular dental checkups and professional cleanings help maintain oral hygiene and prevent long-term dental issues.

OUR BRANCHES

We have 2 branches across Ernakulam.

Edathala

Kudilil Tower 1st Floor, Pearl towers, Edathala, Kochi Choondy, Aluva, Kerala 683112 India

Aluva

1st Floor,kizhakkedath Building, Kunjattukara - Muthirakkattumukal Rd, Aluva, Kerala 683561